![]()
当院では、看護師と臨床工学技士でVAエコーチームを結成し、全ての患者様を対象に通常1年に1回、VAの状態を把握するためにエコーを施行しています。その結果にて、定期的なフォローが必要と判断された場合や、穿刺トラブル、脱血不良、静脈圧上昇、シャント音の異常等があった場合に必要に応じ、エコーを施行し原因を追究し閉塞等の様々なトラブルをできるだけ未然に防げるよう対応しています。
VAエコーの評価方法
・使用機器:
Noblus (日立アロカメディカル)
プローブ L-64(18-5MHz)
・機能評価:上腕動脈の血流量、RI(末梢血管抵抗)、グラフト内血流 等を参考に評価しています。
・形態評価:血管の走行、狭窄の有無・程度、石灰化の有無・程度 等を観察し評価しています。
*機能評価
・上腕動脈血流量・RI
上腕動脈血流量・RIの測定については、基本的には上腕中間部と肘部の2ヵ所の上腕動脈で測定し、血流量に関しては、過大評価とならないよう、mean traceにより算出されるFv mean(平均流速における特定範囲の平均値)を参考にしています。
※上腕動脈血流:300~350ml/min以上、RI:0.6~0.7以下をカットオフ値とし、透析中の脱血の状態等も考慮し、必要に応じ血管外科等の受診を検討しています。
・グラフト内血流
人工血管内シャントにおいては、基本的には自己血管内シャントと同様に上腕動脈血流量での評価をおこないますが、グラフト内での血流測定が可能な場合は測定し参考にしています。※人口血管の種類によってはエコーを通さず測定できない
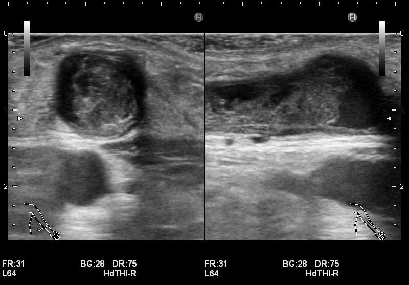
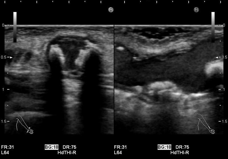
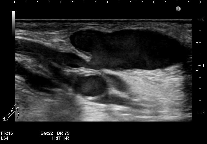
*形態評価
石灰化画像
吻合部画像
・吻合部の観察
吻合形態や、石灰化の有無、狭窄等を観察しています。
・静脈系の観察
吻合部から中枢へ向かって走査し、血管の走行や太さ、血管までの深さ、狭窄や石灰化、血栓等の有無を観察しています。長軸断面、短軸断面それぞれで観察し、また、カラードプラも使用しできるだけ正確に、血管内の状況を把握するようにしています。
これらのエコー結果は直ちにTakakuwaデータベースシステム内でVAカルテが作成され、Drが読影して機能・形態評価を総合的に判断します。またトラブル時には原因を追究し、それに応じて穿刺部位の選定や、PTA等の対応が必要と判断された場合は血管外科の対応をとっています。
看護師と臨床工学技士によるエコーを用いたVA管理はVAカルテ情報ををより充実させ、またそれらの情報をスタッフ間で共有できたことが穿刺トラブル等を減少させ、より安全で質の高い透析医療を提供できていると思われます。
動画:ブラッドアクセスエコー講座








